Taustaa kirjoitukset on koottu kirjoiksi, joihin voit tutustua klikkaamalla tästä.
Syvällä maan uumenissa säilynyt salaisuus

Maaperän radioaktiivisten aineiden hajoamisvaiheita on pidetty tärkeimpinä todisteina maapallon miljardeja vuosia pitkästä iästä. Hajoamisen tuloksena syntyvää helium -kaasua ei kuitenkaan ole ilmakehästä löytynyt. Ilmakehän helium-pitoisuus onkin vahva todiste maapallon nuoresta iästä. Ristiriita näiden kahden todisteen välillä on pitänyt jännitettä yllä jo yli 50 vuotta.

Ranskalainen fyysikko ja tutkija Henri Becquerel (1852-1908) havaitsi v. 1896, että jotkut alkuaineen isotoopit hajoavat (muuttuvat) omia aikojaan ja synnyttävät säteilyä. Hän oli löytänyt alkuaineen, joka säteili radioaktiivisesti. Samana vuonna saksalainen fysiikan professori Wilhelm Röntgen (1845-1923) julkaisi omat havaintonsa X-säteistä, joiden avulla saatettiin läpivalaista mm. ihmisruumista. Näistä havainnoista alkoi atomien ja radioaktiivisuuden kiivas tutkiminen ja löydettyjen havaintojen hyödyntäminen. Kehitys johti myöhemmin röntgen- ja muiden säteilyä käyttävien laitteiden keksimiseen, atomienergian yleiseen hyödyntämiseen mutta myös atomipommin kehittelyyn ja käyttöön.

Pitkän iän salaisuus

Maaperätutkimuksissa on löydetty useita eri mineraaleja, jotka ovat radioaktiivisia. Mm. maapallon kallioperässä olevasta uranniitistä voidaan erottaa luonnossa esiintyvistä alkuaineista painavin ja yleisin, uraaniatomi (n. 99% = uraani- 238).

Uraaniatomi hajoaa hitaasti lyijyatomiksi ja tuottaa tässä monivaiheisessa muutosprosessissa 8 alfahiukkasta (kaksi protonia ja kaksi neutronia), jotka muuttuvat helium-4 muotoon. On arvioitu, että puolet uraanin radioaktiivisesta aineesta on muuttunut 4,5 miljardissa vuodessa lyijyksi. Tästä ajasta suurimman osan vie ensimmäinen muutosvaihe.

Uraani 238 muuttuu lyijyksi (Pb 206) 13 välivaiheen kautta. Muutoksen 8 eri vaiheessa vapautuu alfa-säteilyä, joka varauksen menetettyään muuttuu Heliumiksi (He). Uraanin arvioitu puoliutumisaika vakio-olosuhteissa on 4 500 000 000 vuotta.
 


Tutkittavista aineista pystytään nykyään tarkoin mittauksin määrittelemään niiden radioaktiivisuuden määrä, eli missä atomin hajoamisvaiheessa mineraali tutkittaessa on. Laskelmin voidaan arvioida, kuinka pitkä aika tarvitaan, jotta hajoamisen tulokseksi saadaan juuri tutkittavan aineen radioaktiivisuuden aste. Näin mitaten ja arvioiden on laskettu mm. kehitysopin mukaiset mineraalien oletetut miljoonat ikävuodet. Kaikki ikäarviot perustuvat kuitenkin vain oletuksiin ja siihen uskoon, että maapallolla säteilyn voimakkuuteen ja reaktioiden nopeuteen liittyvät olosuhteet ovat pysyneet lähes samoina tuhansien miljoonien vuosien ajan eikä radioaktiivista hajoamista kiihdyttäviä tai hidastavia syitä ole ollut olemassa.

Missä on helium-4

Vuoden 1969 nobel-ehdokas, professori Melvin Cook, tutki useiden vuosien ajan ilmakehässä esiintyvän heliumin määrää ja sen kertymistä1. Tutkimuksiensa perusteella hän tuli siihen tulokseen, että ilmakehässä olevan helium-4:n vähäinen määrä johtuu maapallon verrattain nuoresta iästä. Osa ilmakehän heliumista (helium-4) syntyy juuri aktiivisten isotooppien (mm. uraani) hajotessa. Syvällä maan uumenissa syntynyt liukasliikkeinen helium läpäisee kivi- ja maakerrokset ja sekoittuu lopulta ilmakehän muiden kaasujen joukkoon.


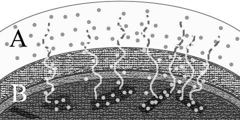
Maaperässä (B) olevien radioaktiivisten aineiden hajoaminen saa aikaan lämpöä ja hajoamistuotteita, joista merkittävin on helium-4. Atomikooltaan pieni helium-4 läpäisee maakerrokset ja nousee lopulta ilmakehään (A), jossa se sekoittuu muihin kaasuihin.
 

Maaperässä olevien radioaktiivisten aineiden hajoamisen tuottaman heliumin määrä on pystytty arvioimaan suhteellisen tarkasti. Sitä ei kuitenkaan ilmakehästä löydy laskettuja määriä. Ilmakehässä olevan heliumin määrän tulisi olla n. miljoona kertaa nykyistä suurempi, jos maapallo olisi 4,5 miljardin vuoden ikäinen. Melvin Cook kysyikin Nature-lehdessä jo vuonna 1957 kehitysopin kannattajilta: "Missä on radioaktiivisten aiheiden hajoamisen tuloksena syntynyt helium?" 2

Heliumin vähäinen määrä on ollut merkittävä tieteellinen todiste maapallon ilmakehän nuoresta iästä.

Helium ei kadonnut avaruuteen

Vaikka ilmakehässä heliumin lisääntyminen johtuu merkittävältä osin juuri radioaktiivisen hajoamisen tuloksena olevan helium-4 kertymisestä, on siellä runsaasti heliumia, jonka alkuperä on muualta.3

Ilmakehään jatkuvasti karttuvasta heliumista haihtuu avaruuteen vain pieni osa. Tätä heliumin poistumista on tutkinut mm Tri Dudley J. Benton4 , joka on pystynyt tutkimuksin kumoamaan kehitysopin kannattajien väitteet heliumin merkittävästä haihtumisesta avaruuteen. Kukaan ei ole pystynyt näyttämään tutkimuksin toteen, että heliumin poistuminen maan ilmakehästä olisi suuressa määrin mahdollista nyt tai että se olisi ollut mahdollista aikaisemmin oletettujen olosuhteiden vallitessa. Ne, jotka uskovat, että maapallo on 4,5 miljardia vuotta vanha, eivät ole pystyneet vastaamaan lähes 50 vuotta sitten tehtyyn kysymykseen: "missä on radioaktiivisten aineiden hajoamisessa syntynyt helium-4?"

Vastaus löytyy syvältä maan uumenista

Lähellä Los Alamosia sijaitsevan Jemez-vuoren kukkulalla alkoi 1970-luvun alussa tutkimukset peruskallion lämpöenergian hyödyntämisestä. Tätä tutkimustyötä varten rakennettiin poraustorni. Poraus ulottui useiden kilometrien syvyyteen, syvälle kuumaan, kiinteään graniittiseen peruskallioon. Syvyydestä saadut porausnäytteet lähetettiin Oak Ridgen kansalliseen laboratorioon analyysejä varten. Koska merkittävä osa maaperän uraanista ja toriumista sijaitsee maapallon graniittikuoressa olevissa zirkon-kiteissä, otti laboratoriossa fyysikko Robert Gentry juuri nämä kiteet tutkimuksensa kohteeksi.

Lähtötilanteen määrittelemiseksi tutkittiin myös sitä, kuinka nopeasti radioaktiivisen hajoamisen tuloksena syntynyt helium-4 poistuu kiteistä, joihin se hajoamisreaktion tuloksena on joutunut. Tutkimuksin todettiin, että normaalihajoamisen seurauksena syntynyt helium poistuu sellaisella nopeudella, että sitä ei varastoidu kiteeseen.

Vuonna 1982 Robert Gentry julkisti osatuloksia tutkimuksista5. Ensin oli määritelty se, kuinka paljon zircon-kiteissä oli uraniumia, toriumia ja lyijyä ja kuinka paljon niistä laskelmien mukaan olisi syntynyt helium-4 atomeja. Tämän jälkeen laskettiin se, kuinka paljon kiteestä olisi heliumia poistunut normaalioloissa. Yllätys oli se, että tutkimusten mukaan zirkon-kiteissä oli edelleen varastoituneena helium-4 atomeja niin paljon, että niiden määrä vastasi normaalioloissa muuttuvan radioaktiivisen atomin 1,5 miljardin vuoden hajoamistulosta. Syntyneestä heliumista oli kiteissä edelleen n. 58% Mitä syvemmältä näytteet otettiin sitä enemmän niissä oli jäljellä heliumia. Merkittävä havainto oli myös, että pienet, kuumat kiteet sisälsivät huomattavia määriä heliumia. Miksi helium-atomeja oli varastoituneena kiteisiin näin suuria määriä?
 

kuva
Heliumatomit, jotka syntyvät uraanin hajotessa varastoituvat läheisiin kivikiteisiin. Kiteistä ne poistuvat tietyllä diffuusionopeudella ja vaeltavat edelleen maakerrosten läpi ilmakehään. Jos uraanin hajoaminen olisi ollut nykyisen hajoamisnopeuden kaltainen koko maapallon olemassaolon ajan, olisi kiteissä ja maakerrostumissa vakiomääräinen, maan pintaa kohti nouseva heliumpitoisuus.
 
kuva
Jemez-vuoren uumenista, usean kilometrin syvyydestä poratuissa zirkon-kiteissä oli helium-atomeja niin paljon, että ne vastasivat n 1,5 miljardin vuoden aikana tapahtuneen tasaisen radioaktiivisen hajoamisen kertymää. Tutkimustulos antaa viitteitä siihen, että radioaktiivisuus on ollut ajoittain erittäin kiivasta joitakin tuhansia vuosia sitten.
 
kuva
Zirkon-kiteitä, joihin uraanin radioaktiivisessa hajoamisessa syntyvät heliumatomit tallentuvat sieltä tietyllä nopeudella edelleen poistuen
 
kuva
Kuva:
Courtesy of Los Alamos National Laboratory

Porausnäytteitä otettiin useita kilometrejä syvällä olevasta peruskalliosta, jossa radioaktiivisten aineiden hajoamisreaktiot pitävät maakuoren lämpötilan korkeana. Kuvassa Fenton Hillin poraustorni.
 


Johtopäätelmiä tuloksista

Tutkijat laskevat saatujen tulosten perusteella, että radioaktiivinen hajoaminen on tapahtunut lähimenneisyydessä (4000-14000 vuoden välisenä aikana) kiihdytettynä yhdessä tai useassa lyhyessä jaksossa. Tämä nopea hajoaminen supistaa 4,5 miljardin vuoden tasaisen hajoamisen tapahtuneeksi 6000 vuoden kuluessa6. Tämä aika vastaa Raamatun ilmoittamaa aikataulua ja tukee niitä arvioita, jotka liittyvät tiiviisti niihin luomisviikon ja vedenpaisumuksen ajan tapahtumiin, jotka ovat näkyvissä maankuoressa ja ilmakehässä tänä päivänä.

"Sinä, Herra, olet alussa maan perustanut, ja taivaat ovat sinun kättesi tekoja; ne katoavat, mutta sinä pysyt, ja ne vanhenevat kaikki niinkuin vaate, ja niinkuin vaipan sinä ne käärit, niinkuin vaatteen, ja ne muuttuvat; mutta sinä olet sama, eivätkä sinun vuotesi lopu."


KP

Viitteet
1) Orgins answer book/Paul S. Taylor, 1993
2) "Where is the Earth´s Radiogenic Helium? " Nature, Vol. 179 No 213/1957 ja "Prehistory and Earth Models ", 1966)
3) "Reply to Franklin", Creation Research Society Quarterly, Vol 25/1988
4) H. Craig - J.E.Lupton/Earth and Planetary Science Letters, Vol. 31, 1976
5) Differential helium retention in zircons; implication for nuclear waste management, Geophysical Research Letters 9(10): 1129-1130. October 1982
6) Acceleratred nuclear decay: A viable pypothesis?/ D. R. Humphreys, Impact, October 2002